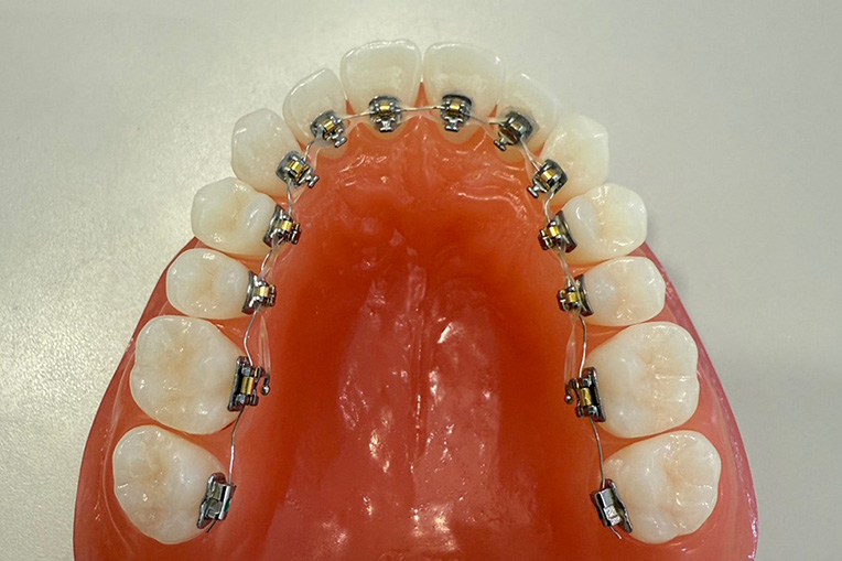
装置を歯の裏側につける、気づかれない矯正方法

裏側矯正とは、歯の表側に装置を固定することで、外側からは全く見えない状態で矯正を進めていける方法です。舌側矯正、リンガルとも呼ばれています。
裏側矯正のイメージとして、「違和感が強そう」「食べる時に邪魔になりそう」「治療期間が長くかかりそう」といったことをお持ちの方もいるかもしれません。
ですが、現在では裏側矯正の装置はかなりコンパクトになり、デジタル技術を使用するなど、治療技術が発達したこともあって、そういったイメージがかなり克服おり、快適な矯正治療が可能になっています。
裏側矯正のイメージとして、「違和感が強そう」「食べる時に邪魔になりそう」「治療期間が長くかかりそう」といったことをお持ちの方もいるかもしれません。
ですが、現在では裏側矯正の装置はかなりコンパクトになり、デジタル技術を使用するなど、治療技術が発達したこともあって、そういったイメージがかなり克服おり、快適な矯正治療が可能になっています。
当院では、裏側矯正に精通した歯科医師が、患者様ごとにすべてオーダーメイドで作製した装置を用いて、先進で精度の高い裏側矯正をおこなっております。
裏側矯正はこんな方におすすめです

接客業や人前で話すことが多い仕事の方でも、裏側矯正なら装置が表から見えることはありませんので、見た目を気にせず仕事に集中することができます。

結婚式を間近に控えた方などでも、裏側矯正なら装置が見えませんので見た目が全く気になりません。

裏側矯正なら、装置が見えないだけでなく、装置の厚みによって口元が膨らむこともありませんので、矯正中の見た目が悪くなることもありません。

表側矯正の場合、食事中にはどうしても食べかすが装置に引っかかってしまうのが気になってしまいますが、裏側矯正の場合には仮に引っかかっても見た目は悪くならないので、外食時の見た目も気になりません。

舌側矯正はワイヤーを用いた矯正なので対応できる症例が広く、歯並びや噛み合わせの微妙な調整が可能で、仕上がりがきれいです。

裏側矯正のメリット
- 表から見えにくい
- 歯に固定するブラケットとワイヤーは歯の裏側につきますので、よほど口を大きくあけて笑うなどしなければ表から装置が見えることはありません。
そのため、矯正していることを周囲に知られずに「いつの間にか歯並びがきれいになった」というような感じで進めていくことができます。
- むし歯リスクを下げられる
- 矯正治療はむし歯のリスクを高めると言われることがありますが、裏側矯正の場合、唾液の流れの良い歯の裏に装置を固定するので、自浄作用の恩恵を受けやすく、むし歯にかかるリスクを表側矯正よりも下げることができます。

裏側矯正のデメリット
- 慣れないうちは舌に違和感を感じやすい
- 装置が歯の内側につくので、舌に触れて慣れないうちは違和感を強く感じることがあります。
- 食事の時に邪魔に感じることがある
- ものを食べる時にワイヤーに食べ物が絡まり、邪魔に感じることがあります。
スマイルコンセプトの裏側矯正の特徴

裏側矯正は一般的には、「治療できる症例が限られる」「治療期間が長くかかる」
ということが言われていますが、当院は裏側矯正を得意としておりますので、どのような歯並びやかみ合わせであってもほぼすべてのケースで裏側矯正での対応が可能です。
また、治療期間も表側の矯正の場合と比べて長くなるということもなく、短期間の矯正治療を併用すると治療期間を大幅に短縮することも可能です。
ということが言われていますが、当院は裏側矯正を得意としておりますので、どのような歯並びやかみ合わせであってもほぼすべてのケースで裏側矯正での対応が可能です。
また、治療期間も表側の矯正の場合と比べて長くなるということもなく、短期間の矯正治療を併用すると治療期間を大幅に短縮することも可能です。
そして、歯並びの状況によっては、表側より裏側治療のほうが適している場合もあります。現在、さまざまな裏側矯正システムが開発されており、それぞれメリット・デメリットがありますが、当院ではいくつかの方法をご用意しており、患者さまに合ったシステムをお選びいただくことが可能です。